Skip to main content

Cirurgia de sisos e dentes sem função

Envolve a extração de sisos ou dentes sem função para prevenir complicações futuras como dor, inflamação ou problemas de oclusão

Alto índice de sucesso

A cirurgia de remoção de sisos e dentes sem função é um procedimento comum na odontologia, destinado a tratar problemas relacionados ao crescimento inadequado dos dentes do siso ou à presença de dentes que não possuem mais viabilidade funcional ou estrutural.

Esta cirurgia não só alivia o desconforto e a dor associados a esses problemas, mas também previne complicações futuras que podem afetar a saúde bucal geral.

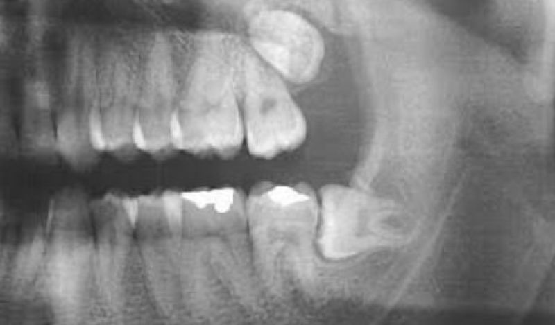
Os dentes do siso, também conhecidos como terceiros molares, geralmente começam a erupcionar na fase final da adolescência ou no início da vida adulta. Em muitos casos, esses dentes não emergem completamente ou crescem de forma impactada, o que pode causar dor, infecção, e danos aos dentes adjacentes. A cirurgia para removê-los é recomendada quando não há espaço suficiente na boca para acomodá-los ou quando eles começam a causar problemas.

Da mesma forma, dentes que perderam sua função — seja devido a doença grave, trauma ou desgaste excessivo — podem necessitar de extração. Esses dentes podem se tornar fontes de infecção ou causar desalinhamento nos outros dentes, comprometendo a mordida e a eficácia da mastigação.

O procedimento de remoção é geralmente realizado sob anestesia local, sedação ou anestesia geral, dependendo da complexidade da cirurgia e da tolerância do paciente. O cirurgião dentista faz uma incisão na gengiva sobre o dente afetado para expor o osso e o dente. Em alguns casos, o dente pode ser dividido em partes menores para facilitar a remoção com menos impacto na área circundante.

Após a cirurgia, são comuns inchaço e desconforto, mas esses sintomas podem ser gerenciados com medicação para dor e medidas de cuidados pós-operatórios, como compressas frias e dieta mole. É essencial seguir todas as instruções do dentista para limpeza da boca e cuidados com a ferida cirúrgica para prevenir infecções e promover uma rápida recuperação.

Embora a ideia de uma cirurgia possa parecer intimidadora, a remoção de sisos e dentes sem função é um procedimento rotineiro com um alto índice de sucesso. Ele desempenha um papel crucial na prevenção de problemas dentários mais graves e na melhoria da saúde bucal, garantindo que a boca mantenha sua função adequada e estética.

Você deseja saber mais?

Fale conosco e agende uma consulta numa de nossas clinicas