Próteses dentárias fixas
Fixadas em dentes naturais ou implantes, proporcionam restauração duradoura da função mastigatória e estética
Visitas regulares ao dentista são essenciais
Este tipo de prótese é projetado para se integrar de maneira permanente na boca do paciente, oferecendo uma alternativa mais estável e natural em comparação com as próteses removíveis.
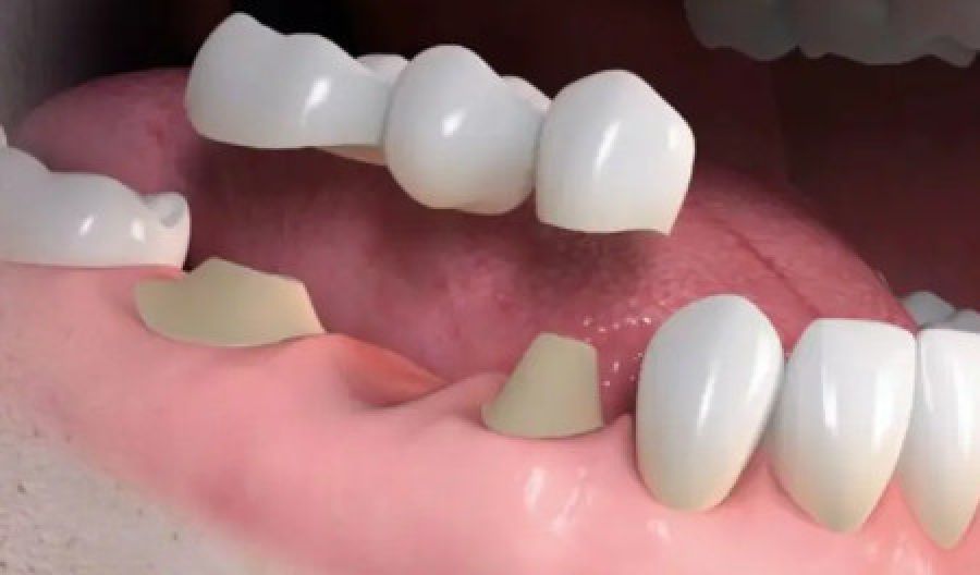
Essas próteses são ancoradas na boca através de pontes ou implantes dentários. As pontes utilizam dentes naturais adjacentes como suporte, onde são colocadas coroas que funcionam como pilares para a prótese, ligando os dentes ausentes aos existentes. Já as próteses sobre implantes são fixadas diretamente no osso da mandíbula ou maxilar, proporcionando uma fundação sólida que imita a raiz do dente natural. Este método é especialmente valorizado por sua capacidade de preservar a saúde óssea e proporcionar uma sensação mais próxima à de ter dentes naturais.
A fabricação dessas próteses envolve tecnologia de ponta e materiais de alta qualidade, como porcelana ou zircônia, que garantem uma aparência natural e resistência a manchas. O processo inicia com uma avaliação detalhada da saúde bucal do paciente, seguida pela preparação dos dentes ou implantação dos suportes. Moldes precisos são feitos para garantir que as próteses se encaixem perfeitamente na boca do paciente, respeitando a mordida e a estética facial.
O resultado é uma prótese que não apenas melhora a funcionalidade da mastigação e fala, mas também restaura a confiança no sorriso. Pacientes com próteses fixas relatam uma melhoria significativa na qualidade de vida, pois elas oferecem uma solução permanente que elimina as inseguranças associadas às próteses removíveis, como o medo de deslocamento durante conversas ou refeições.
O cuidado com as próteses fixas é similar ao dos dentes naturais, envolvendo higiene oral regular com escovação e uso de fio dental. Visitas regulares ao dentista são essenciais para garantir a durabilidade e o bom estado da prótese.
Escolher uma prótese dentária fixa é investir na restauração da funcionalidade completa e na estética do sorriso, proporcionando não apenas uma solução duradoura, mas também um profundo impacto positivo na autoestima e no bem-estar geral do paciente.
Você deseja saber mais?
Fale conosco e agende uma consulta numa de nossas clinicas